잇몸이 무너진 치아를 지키는 마지막 방법"치주재생수술"
잇몸질환으로 파괴되어버린 뼈와 잇몸은,
단순한 잇몸치료만으로는 회복되지 않습니다
세브란스 치주과 교수 출신 대표원장이 직접 집도하는 정밀 재생수술로
무너진 잇몸을 다시 지킬 수 있습니다
치주재생수술은 어떤 치료인가요?
치주염(잇몸병)으로 파괴된 잇몸뼈와 잇몸 조직을
골이식재와 재생 재료를 이용하여 회복하는 치료입니다.
정교한 절개와 봉합, 세밀한 기구 조작이 필요합니다.

연세대학교 치과대학병원
치주과 교수 출신 대표원장 진료
세브란스병원 본원 치주과에서 난이도 높은 치주재생수술을
직접 진행한 대표원장이 진료합니다.
최신 술식과 연구 결과를 진료에 적용하여
복잡한 치주질환에도 전문적으로 대응합니다.

정밀한 재생술식,
검증된 기술로 안전하게
과학적으로 검증된 골이식재와
엠도게인같은 재생 촉진재료를 이용해,
파괴된 잇몸뼈와 조직이 회복 될 수 있도록 돕습니다.
치주질환의 양상에 따라 맞춤형 수술 방법의 적용으로
최적의 결과를 만들어냅니다.

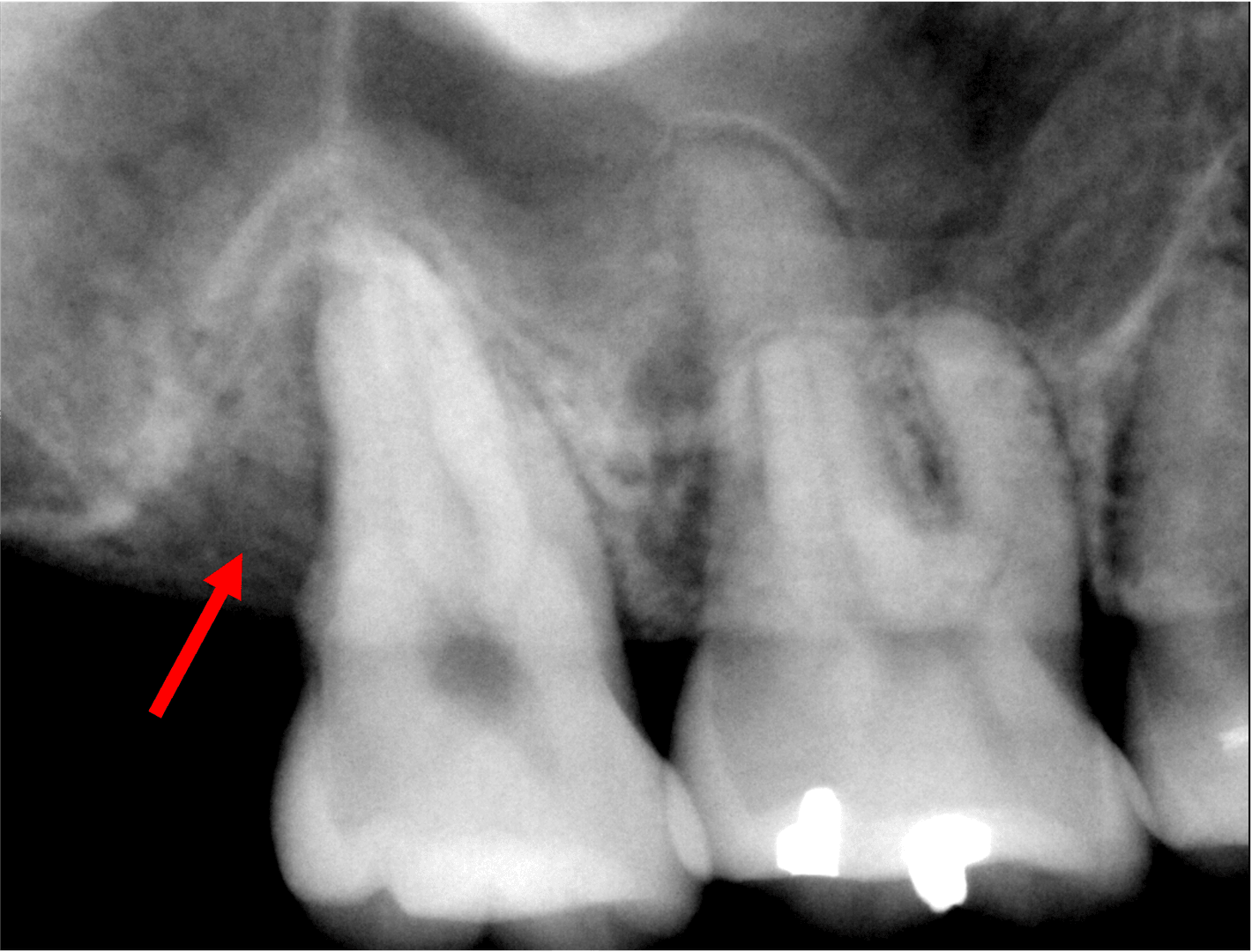
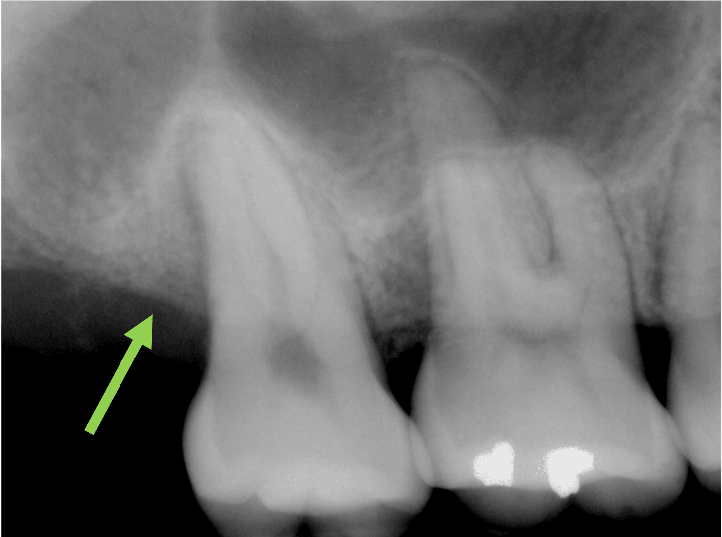
치주 재생 수술을 통한
치조골의 재생
치주 재생 수술을 이용한
치조골의 재생을 확인할 수 있습니다


치료 전
치료 후
본 이미지는 촬영 조건에 따라 실물과 일부 다르게 보일 수 있으며, 환자 본인의 동의를 얻어 촬영 후 게재하였습니다.
치료 결과는 환자 개개인의 상태에 따라 다르며, 치과의사의 상담이 필요합니다.
자연치아를 끝까지 지키는 것,우리의 진료철학입니다
세브란스 치주과 교수 출신 대표원장이 직접 진단, 치료합니다
무너진 잇몸뼈도 정밀한 치주재생수술을 통해
발치 전 마지막 기회를 잡을 수 있습니다
자연치아의 가치를 소중히 여기는 치료, 지금 시작하세요