뼈가 부족해도, 염증이 심해도,해답은 있습니다
여러 병원에서 임플란트가 어렵다고 하셨나요?
뼈가 부족하다는 말에 걱정되셨나요?
뼈이식, 잇몸이식이 무서워 치료를 미루셨나요?
연세대학교 치과대학병원
치주과 교수 출신의
고난이도 임플란트 수술
세브란스 본원 치과병원 치주과 교수 출신 원장이,
수많은 중증 환자 케이스를 진료하며 쌓아온 경험과 노하우로
뼈가 부족하거나, 염증이 심한 까다로운 상황에서도
안전하고 정밀하게 수술을 진행합니다.

수술부터 보철까지
빈틈 없는 임플란트 치료
치주과, 보철과 전문의 협진 시스템
서울연세유온치과는 진단, 수술, 보철치료
전 과정을 각 분야 전문의가 협력하여
환자 개개인에게 가장 안전하고 정밀한
맞춤 임플란트 치료를 제공합니다.

탄탄한 기초 위에,
오래가는 결과를 만듭니다
뼈와 잇몸 상태를 정밀하게 진단하고,
뼈이식, 잇몸이식으로 기초를 튼튼히 다진 후,
당신에게 가장 적합한 수술을 합니다.
10년, 20년 후에도 안심할 수 있는 결과,
그것이 우리의 원칙입니다.

모두에게 똑같은 임플란트
정답이 될 수 없습니다
CT 정밀진단, 수술 가이드 등의 기술과
풍부한 수술 경험을 바탕으로
환자마다 다른 뼈와 잇몸 상태를 고려한
개인 맞춤형 임플란트 계획을 세웁니다.
안전성과 완성도를 동시에 높인 치료로
나에게 꼭 맞는 결과를 제공합니다.

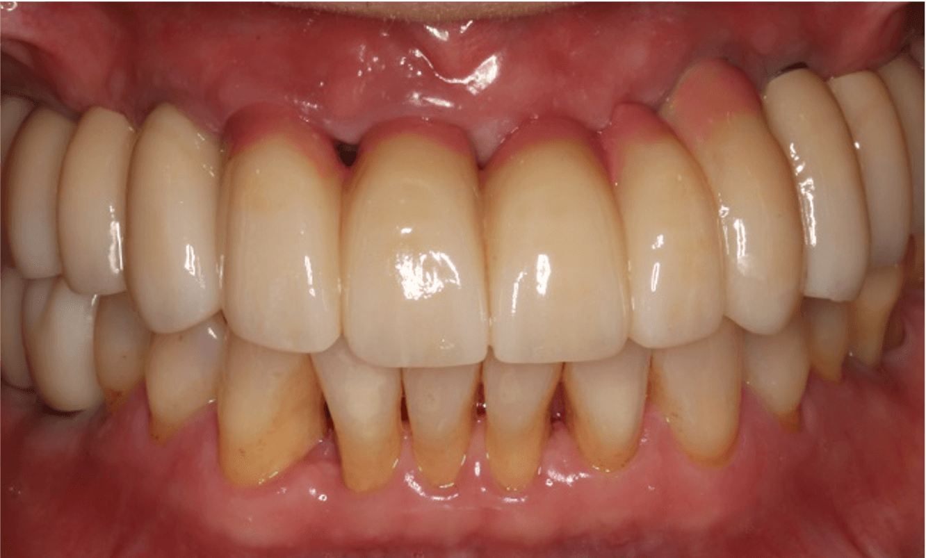
치료 전후 비교


치료 전
치료 후
본 이미지는 촬영 조건에 따라 실물과 일부 다르게 보일 수 있으며, 환자 본인의 동의를 얻어 촬영 후 게재하였습니다.
치료 결과는 환자 개개인의 상태에 따라 다르며, 치과의사의 상담이 필요합니다.
한 번의 수술이 아니라,평생을 생각한 임플란트
임플란트, 시작을 어디서 하느냐가
평생의 차이를 만듭니다